विज्ञापन
This Article is From Oct 28, 2025

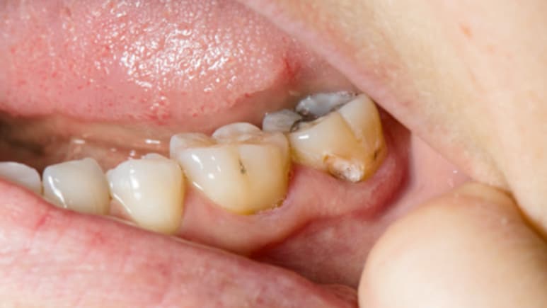
दांतों में दर्द और कीड़े का घरेलू इलाज है यहां, जानें कीड़ा लगे, पीले, खोखले दांत कैसे होंगे ठीक

Dant Mein Keede Ka Ilaj: आज हम आपको दो ऐसे इंग्रेडिएंट्स के बारे में बताने वाले हैं जो आपके दांतों से जुड़ी कई समस्याओं से राहत दिलाने में मदद कर सकते हैं. तो चलिए बिना देरी किए जानते हैं कौन से हैं वो दो इंग्रेडिएंट्स. 

दांतों में दर्द और कीड़े का घरेलू इलाज है यहां, जानें कीड़ा लगे, पीले, खोखले दांत कैसे होंगे ठीक
सड़े हुए दांतों को घर पर कैसे ठीक करें?

Dant Mein Keede Ka Ilaj: दांतों की सड़न एक ऐसी समस्या है जिसका अगर समय रहते इलाज न करवाया जाए तो ये धीरे-धीरे कई गंभीर समस्याओं का कारण बन सकती है. अगर आप भी दांतों की से जुड़ी दिक्कतों से पीड़ित हैं और इससे राहत पाने के लिए उपाय ढूंढ रहे हैं तो स्टोरी में बने रहिए. बहुत से लोग सवाल करते हैं कि दांत दर्द का घरेलू उपाय क्या है? आज हम आपको दो ऐसे इंग्रेडिएंट्स के बारे में बताने वाले हैं जो आपके दांतों से जुड़ी कई समस्याओं से राहत दिलाने में मदद कर सकते हैं. तो चलिए बिना देरी किए जानते हैं कौन से हैं वो दो इंग्रेडिएंट्स. 

Danto Ki Samasya Ka Samadhan

फिटकरी: फिटकरी एंटीबैक्टीरियल, एंटीफंगल और कसैला जैसे गुणों से भरपूर है, इसलिए यह मसूड़ों की सूजन, दांत दर्द और मुंह की दुर्गंध जैसी समस्याओं में कारगर मानी जाती है.

इसे भी पढ़ें: कबाड़ नहीं शानदार जुगाड हैं नींबू के छिलके, देता है ऐसे ऐसे फायदे क‍ि जान लिया तो पड़ोसी से मांग कर इकट्ठे कर लेंगे

लौंग: लौंग में एनाल्जेसिक गुण मौजूद होने से ये दांत के दर्द से राहत दिला सकता है. दांतों के दर्द और मसूड़ों की सूजन को कम करने के लिए लौंग लाभदायक साबित हो सकती है.

कैसे बनाएं पानी?

फिटकरी में एंटीसेप्टिक गुण पाए जाते  हैं, जो घावों को साफ करने और संक्रमण को रोकने में मदद कर सकते हैं. अब सवाल ये है कि इसे इस्तेमाल कैसे किए जाए? सबसे पहले एक बोतल लें उसमें 1 लीटर पानी भर लें और 30 से 40 ग्राम फिटकरी को छोटे-छोटे टुकड़ों में काटकर डाल दें. अब इसमें कम से कम 35 से 40 लौंग के दाने डाल दें.अब इस पानी को दो से तीन दिन के लिए स्टोर कर के रख दें. तीन दिन बाद तैयार किए पानी को गिलास में दो चम्मच डालकर इसमें थोड़ा साधा पानी मिला लें  और उससे दो से तीन बार खाना खाने के बाद कुल्ला करें. ये पानी दांतों से जुड़ी दिक्कतें जैसे दांतों का दर्द, दांतों का सड़ना, मसूड़ों की बीमारी,दांतों का टूटना और मुंह की दुर्गंध से राहत दिलाने में मदद कर सकता है.

Watch Video: 

(अस्वीकरण: सलाह सहित यह सामग्री केवल सामान्य जानकारी प्रदान करती है. यह किसी भी तरह से योग्य चिकित्सा राय का विकल्प नहीं है. अधिक जानकारी के लिए हमेशा किसी विशेषज्ञ या अपने चिकित्सक से परामर्श करें. एनडीटीवी इस जानकारी के लिए ज़िम्मेदारी का दावा नहीं करता है.)

NDTV.in पर ताज़ातरीन ख़बरों को ट्रैक करें, व देश के कोने-कोने से और दुनियाभर से न्यूज़ अपडेट पाएं

फॉलो करे:
Listen to the latest songs, only on JioSaavn.com