Foods For Tooth Decay
-
{
- सब
- ख़बरें
- वेब स्टोरी
-
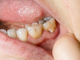
दांत खोखले और कमजोर हो रहे हैं? इन 3 तरीकों से मिलेगी राहत, मर जाएंगे दांतों के सारे कीटाणु और मसूड़े भी होंगे मजबूत
- Saturday December 13, 2025
- Written by: नवीन प्रजापति
Clean Teeth: एक बार दांतों में कैविटी हो जाती है, तो दांतों में छोटे-छोटे छेद हो जाते हैं, जिनमें खाने के कण फंस जाते हैं और फिर समस्या बढ़ने लगती है. लखनऊ की डेंटल, डॉक्टर स्वाति के द्वारा बताए गए उपाय से दांतों की समस्या से राहत मिल सकती है.
-
ndtv.in
-
दांत में कीड़ा लग जाए तो क्या करें, दांत की कैविटी के 3 घरेलू इलाज, दांत दर्द से मिलेगी तुरंत राहत
- Wednesday December 3, 2025
- Written by: अनिता शर्मा
Dant Me Keeda Lag Jaye To Kya Kare: डॉक्टर के पास जाने से पहले, आप अपनी रसोई में ही कुछ आसान और प्रभावी उपाय अपना सकते हैं. आज हम आपको ऐसे 3 घरेलू नुस्खे बताएंगे जो दर्द और कीड़े की समस्या में तुरंत आएंगे काम, और आप जान लें इस्तेमाल करने का तरीका ताकि कैविटी को बढ़ने से रोका जा सके.
-
ndtv.in
-
बिना दवा और टूथपेस्ट, 15 दिनों में ही दिखने लगेगा असर, कैविटी और झनझनाहट से मिलेगा छुटकारा
- Thursday September 11, 2025
- Written by: शालिनी सेंगर
Home remedy for tooth pain: दांतों में ठंडा-गर्म लगने और झनझनाहट से परेशान हैं? योगाचार्य विश्वेद के बताए शीतकारी प्राणायाम से सिर्फ 15 दिन में मिलेगी राहत, दांत बनेंगे मजबूत और कैविटी से भी बचेंगे.
-
ndtv.in
-
क्या सच में दांत में लगता है कीड़ा? जानिए क्यों आप सभी को बचपन से बोला जा रहा है ये झूठ
- Thursday June 5, 2025
- Written by: दीक्षा सिंह
Dental Cavity Treatment: ज्यादा मीठा मत खाओ दांत में कीड़ा लग जाएगा, दो टाइम ब्रश करो वरना दांत में कीड़ा लग जाएगा. अगर आपको भी बचपन से यही झूठ बताया गया है तो आज समय है कि आप जान लें कि आखिर ये कीड़ा लगना है क्या?
-
ndtv.in
-
दांतों में कैविटी और दर्द से कैसे पाएं छुटकारा? आज जान लें दांत की सड़न ठीक करने का रामबाण तरीका
- Thursday June 5, 2025
- Edited by: अवधेश पैन्यूली
Natural Remedies For Cavities: कुछ चीजें दांतों पर जमा होकर बैक्टीरिया को बढ़ावा देती हैं, जो एसिड बनाते हैं और धीरे-धीरे दांत की ऊपरी परत को नुकसान पहुंचाते हैं. समय के साथ यह परत टूटने लगती है और दांत में सड़न शुरू हो जाती है.
-
ndtv.in
-
दांत में कीड़ा लगने पर भूलकर भी नहीं खानी चाहिए ये 4 चीजें, बढ़ जाएगी दांत की सड़न
- Saturday March 29, 2025
- Written by: अवधेश पैन्यूली
Foods That Worsen Teeth Cavities: क्या आप भी दांत में दर्द या कैविटी से परेशान हैं. यहां हम आपको उन चार चीजों के बारे में बता रहे हैं, जिन्हें दांत में कीड़ा लगने पर खाने से बचना चाहिए.
-
ndtv.in
-
दांत चमकाने वाले सोशल मीडिया वायरल हैक पर एक्सपर्ट्स की चेतावनी! आंख मूंद कर ना आजमाएं वरना झड़ जाएंगे सारे
- Thursday July 17, 2025
- Edited by: अनु चौहान
Social Media Hacks For Teeth Whitening: मोती से चमकते दांत हासिल करने केलिए अगर आप भी वायरल सोशल मीडिया हैक का सहारा ले रहे हैं तो जरा सावधान हो जाइए. पहले जान लीजिए इस बारे में एक्सपर्ट की राय क्या है?
-
ndtv.in
-
कौन सी चीजें खाने के बाद तुरंत ब्रश नहीं करना चाहिए, नहीं तो सड़ने लगते हैं दांत? ब्रश करने का सही समय
- Thursday March 20, 2025
- Written by: अवधेश पैन्यूली
World Oral Health Day: दांतों की देखभाल करना बहुत जरूरी है. खाने के बाद तुरंत ब्रश करने से बचें और सही समय और तरीके से दांतों की सफाई करें. वर्ल्ड ओरल हेल्थ डे पर दांतों के स्वास्थ्य के प्रति जागरूक होकर उनकी केयर का संकल्प लें.
-
ndtv.in
-
दांतों को मोतियों सा चमकदार बनाने के लिए गुनगुने पानी में मिलाएं सेंधा नमक और पाएं ओरल हेल्थ से जुड़ी इन समस्याओं से छुटकारा
- Monday September 11, 2023
- Written by: Aradhana Singh
Rock Salt For Tooth: ओरल हेल्थ से मतलब दांतों, मसूड़ों और पूरे ओरल- फेस सिस्टम से है. यह हमें मुस्कुराने, बोलने और खाने में मदद करता है. ओरल हेल्थ को प्रभावित करने वाली कुछ सबसे आम बीमारियां दांतों में कैविटीज़, मसूड़ों के रोग भी हो सकते हैं.
-
ndtv.in
-
दांतों में दिखने लगी है सड़न तो ये 5 चीजें आएंगी आपके काम, Tooth Cavity बढ़ने से रुक जाएगी
- Saturday December 10, 2022
- Written by: सीमा ठाकुर
Tooth Cavity: खाने की ऐसी कई चीजें हैं जो दांतों की सड़न को बढ़ाने वाली साबित होती हैं. इन्हें खाने से परहेज करना बेहद जरूरी है.
-
ndtv.in
-
Lemon Side Effects: नींबू का जरूरत से ज्यादा सेवन सेहत के लिए नहीं है अच्छा, हो सकती हैं गंभीर दिक्कतें
- Monday September 5, 2022
- Written by: Seema Thakur
Side Effects Of Lemon: स्वाद में खट्टे नींबू अत्यधिक सेवन करने पर कई स्वास्थ्य संबंधी दिक्कतों का कारण बन सकते हैं. जानिए कब-कब नींबू के सेवन से परहेज करना चाहिए.
-
ndtv.in
-
दांत खोखले और कमजोर हो रहे हैं? इन 3 तरीकों से मिलेगी राहत, मर जाएंगे दांतों के सारे कीटाणु और मसूड़े भी होंगे मजबूत
- Saturday December 13, 2025
- Written by: नवीन प्रजापति
Clean Teeth: एक बार दांतों में कैविटी हो जाती है, तो दांतों में छोटे-छोटे छेद हो जाते हैं, जिनमें खाने के कण फंस जाते हैं और फिर समस्या बढ़ने लगती है. लखनऊ की डेंटल, डॉक्टर स्वाति के द्वारा बताए गए उपाय से दांतों की समस्या से राहत मिल सकती है.
-
ndtv.in
-
दांत में कीड़ा लग जाए तो क्या करें, दांत की कैविटी के 3 घरेलू इलाज, दांत दर्द से मिलेगी तुरंत राहत
- Wednesday December 3, 2025
- Written by: अनिता शर्मा
Dant Me Keeda Lag Jaye To Kya Kare: डॉक्टर के पास जाने से पहले, आप अपनी रसोई में ही कुछ आसान और प्रभावी उपाय अपना सकते हैं. आज हम आपको ऐसे 3 घरेलू नुस्खे बताएंगे जो दर्द और कीड़े की समस्या में तुरंत आएंगे काम, और आप जान लें इस्तेमाल करने का तरीका ताकि कैविटी को बढ़ने से रोका जा सके.
-
ndtv.in
-
बिना दवा और टूथपेस्ट, 15 दिनों में ही दिखने लगेगा असर, कैविटी और झनझनाहट से मिलेगा छुटकारा
- Thursday September 11, 2025
- Written by: शालिनी सेंगर
Home remedy for tooth pain: दांतों में ठंडा-गर्म लगने और झनझनाहट से परेशान हैं? योगाचार्य विश्वेद के बताए शीतकारी प्राणायाम से सिर्फ 15 दिन में मिलेगी राहत, दांत बनेंगे मजबूत और कैविटी से भी बचेंगे.
-
ndtv.in
-
क्या सच में दांत में लगता है कीड़ा? जानिए क्यों आप सभी को बचपन से बोला जा रहा है ये झूठ
- Thursday June 5, 2025
- Written by: दीक्षा सिंह
Dental Cavity Treatment: ज्यादा मीठा मत खाओ दांत में कीड़ा लग जाएगा, दो टाइम ब्रश करो वरना दांत में कीड़ा लग जाएगा. अगर आपको भी बचपन से यही झूठ बताया गया है तो आज समय है कि आप जान लें कि आखिर ये कीड़ा लगना है क्या?
-
ndtv.in
-
दांतों में कैविटी और दर्द से कैसे पाएं छुटकारा? आज जान लें दांत की सड़न ठीक करने का रामबाण तरीका
- Thursday June 5, 2025
- Edited by: अवधेश पैन्यूली
Natural Remedies For Cavities: कुछ चीजें दांतों पर जमा होकर बैक्टीरिया को बढ़ावा देती हैं, जो एसिड बनाते हैं और धीरे-धीरे दांत की ऊपरी परत को नुकसान पहुंचाते हैं. समय के साथ यह परत टूटने लगती है और दांत में सड़न शुरू हो जाती है.
-
ndtv.in
-
दांत में कीड़ा लगने पर भूलकर भी नहीं खानी चाहिए ये 4 चीजें, बढ़ जाएगी दांत की सड़न
- Saturday March 29, 2025
- Written by: अवधेश पैन्यूली
Foods That Worsen Teeth Cavities: क्या आप भी दांत में दर्द या कैविटी से परेशान हैं. यहां हम आपको उन चार चीजों के बारे में बता रहे हैं, जिन्हें दांत में कीड़ा लगने पर खाने से बचना चाहिए.
-
ndtv.in
-
दांत चमकाने वाले सोशल मीडिया वायरल हैक पर एक्सपर्ट्स की चेतावनी! आंख मूंद कर ना आजमाएं वरना झड़ जाएंगे सारे
- Thursday July 17, 2025
- Edited by: अनु चौहान
Social Media Hacks For Teeth Whitening: मोती से चमकते दांत हासिल करने केलिए अगर आप भी वायरल सोशल मीडिया हैक का सहारा ले रहे हैं तो जरा सावधान हो जाइए. पहले जान लीजिए इस बारे में एक्सपर्ट की राय क्या है?
-
ndtv.in
-
कौन सी चीजें खाने के बाद तुरंत ब्रश नहीं करना चाहिए, नहीं तो सड़ने लगते हैं दांत? ब्रश करने का सही समय
- Thursday March 20, 2025
- Written by: अवधेश पैन्यूली
World Oral Health Day: दांतों की देखभाल करना बहुत जरूरी है. खाने के बाद तुरंत ब्रश करने से बचें और सही समय और तरीके से दांतों की सफाई करें. वर्ल्ड ओरल हेल्थ डे पर दांतों के स्वास्थ्य के प्रति जागरूक होकर उनकी केयर का संकल्प लें.
-
ndtv.in
-
दांतों को मोतियों सा चमकदार बनाने के लिए गुनगुने पानी में मिलाएं सेंधा नमक और पाएं ओरल हेल्थ से जुड़ी इन समस्याओं से छुटकारा
- Monday September 11, 2023
- Written by: Aradhana Singh
Rock Salt For Tooth: ओरल हेल्थ से मतलब दांतों, मसूड़ों और पूरे ओरल- फेस सिस्टम से है. यह हमें मुस्कुराने, बोलने और खाने में मदद करता है. ओरल हेल्थ को प्रभावित करने वाली कुछ सबसे आम बीमारियां दांतों में कैविटीज़, मसूड़ों के रोग भी हो सकते हैं.
-
ndtv.in
-
दांतों में दिखने लगी है सड़न तो ये 5 चीजें आएंगी आपके काम, Tooth Cavity बढ़ने से रुक जाएगी
- Saturday December 10, 2022
- Written by: सीमा ठाकुर
Tooth Cavity: खाने की ऐसी कई चीजें हैं जो दांतों की सड़न को बढ़ाने वाली साबित होती हैं. इन्हें खाने से परहेज करना बेहद जरूरी है.
-
ndtv.in
-
Lemon Side Effects: नींबू का जरूरत से ज्यादा सेवन सेहत के लिए नहीं है अच्छा, हो सकती हैं गंभीर दिक्कतें
- Monday September 5, 2022
- Written by: Seema Thakur
Side Effects Of Lemon: स्वाद में खट्टे नींबू अत्यधिक सेवन करने पर कई स्वास्थ्य संबंधी दिक्कतों का कारण बन सकते हैं. जानिए कब-कब नींबू के सेवन से परहेज करना चाहिए.
-
ndtv.in