Man Swallowed Knife
-
{
- सब
- ख़बरें
-
चाकू, नेल कटर, चाबी का छल्ला....एक-एक कर युवक निगल गया सब... जानें पर क्या हुआ
- Monday August 26, 2024
- Reported by: NDTV इंडिया, Edited by: रितु शर्मा
डॉक्टर ने कहा कि युवक को मानसिक स्वास्थ्य संबंधी समस्याएं हैं, जिसके लिए वह दवाएं ले रहा है. उन्होंने कहा कि उसकी सर्जरी जोखिम भरी थी. आमतौर पर बच्चों में ऐसे मामले सामने आते हैं. मरीज को जल्द ही अस्पताल से छुट्टी दे दी जाएगी.
-
ndtv.in
-
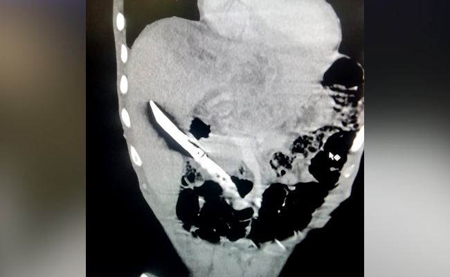
नहीं मिला गांजा, तो चाकू निगल गया शख्स, X-Ray रिपोर्ट देख डॉक्टरों के उड़े होश, ऐसे निकाला बाहर
- Monday July 27, 2020
- Reported by: मुकेश सिंह सेंगर, Edited by: मोहित चतुर्वेदी
एम्स (AIIMS) के चिकित्सकों ने एक अनोखी सर्जरी को अंजाम दिया. एक युवक ने 20 सेंटीमीटर लंबा सब्जी काटने वाला चाकू निगल लिया था. डेढ महीने तक किसी को इसका पता तक नहीं लगा. जबकि चाकू लिवर में पूरा घंस गया था, वहां से आपरेशन कर चाकू निकालना बड़ी चुनौती का काम था.
-
ndtv.in
-
चाकू, नेल कटर, चाबी का छल्ला....एक-एक कर युवक निगल गया सब... जानें पर क्या हुआ
- Monday August 26, 2024
- Reported by: NDTV इंडिया, Edited by: रितु शर्मा
डॉक्टर ने कहा कि युवक को मानसिक स्वास्थ्य संबंधी समस्याएं हैं, जिसके लिए वह दवाएं ले रहा है. उन्होंने कहा कि उसकी सर्जरी जोखिम भरी थी. आमतौर पर बच्चों में ऐसे मामले सामने आते हैं. मरीज को जल्द ही अस्पताल से छुट्टी दे दी जाएगी.
-
ndtv.in
-
नहीं मिला गांजा, तो चाकू निगल गया शख्स, X-Ray रिपोर्ट देख डॉक्टरों के उड़े होश, ऐसे निकाला बाहर
- Monday July 27, 2020
- Reported by: मुकेश सिंह सेंगर, Edited by: मोहित चतुर्वेदी
एम्स (AIIMS) के चिकित्सकों ने एक अनोखी सर्जरी को अंजाम दिया. एक युवक ने 20 सेंटीमीटर लंबा सब्जी काटने वाला चाकू निगल लिया था. डेढ महीने तक किसी को इसका पता तक नहीं लगा. जबकि चाकू लिवर में पूरा घंस गया था, वहां से आपरेशन कर चाकू निकालना बड़ी चुनौती का काम था.
-
ndtv.in