
Cavity In Teeth: दांतों में कैविटी की समस्या अब आम हो चुकी है. केविटी यानी कि दांतों में पहले होल हो जाना और उसके बाद दांतों में दर्द का सिलसिला शुरू हो जाता है. अक्सर लोग सिर्फ ये मानते हैं कि उनके दांतों में कैविटी होने की वजह ज्यादा मीठा खाने की आदत है. जबकि कुछ और भी कारण हैं जो दांतों में कैविटी बनाते हैं. उसमें सिर्फ मीठा खाने की जगह कुछ और तरह के फूड्स भी शामिल हैं. इसी तरह दांतों में झनझनाहट होना भी एक बड़ी शिकायत है. इसकी क्या वजह है. एनडीटीवी ने फरीदाबाद स्थित एम्स के डेंटिस्ट डॉ. जुल्फिकार हाफिस से इस बारे में विस्तार से चर्चा की.
दांतों में क्यों होती है कैविटी और झनझनाहट? Reasons for cavity in teet:
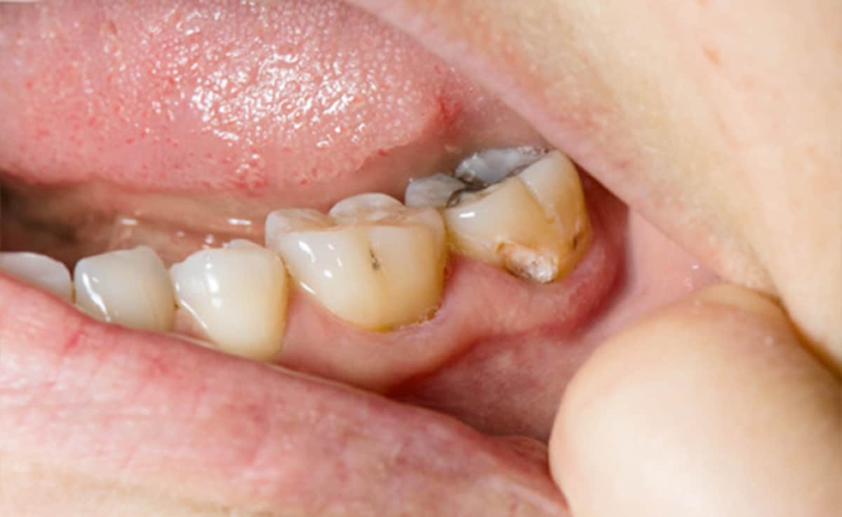
दांतों में क्यों होती है कैविटी?
डॉ. जुल्फिकार हाफिस के मुताबिक दांतों में कैविटी की वजह आजकल की डाइट हो गई है. आजकल अधिकांश लोग ऐसे फूड्स खाते हैं जिसमें शुगर कंटेंट और सिंपल शुगर कंटेंट ज्यादा होता है. इसके अलावा प्रोसेस्ड फूड खाने वालों की संख्या भी बढ़ गई है. इस तरह का खाना दांतों पर चिपक जाता है. ये एकेरियोजेनिक फूड होते हैं. जिनकी वजह से मुंह के बैक्टीरिया जल्दी एक्टिव होते हैं. और मुंह में एसिड बनाते हैं. इसकी वजह से दांत जल्दी खराब होते हैं. डॉ. जुल्फिकार हाफिस के मुताबिक लोगों में रॉ फूड खाने की आदत भी कम हो गई है. अब रॉ फल और सब्जियां लोग कम खाते हैं. जबकि इस तरह के खानों में सेल्फ क्लिंजिंग प्रॉपर्टी होती है. जो दांतों को साफ करते हैं.

कैविटी हो तो क्या करें?
डॉ. जुल्फीकार हाफिज का कहना कि जब दांत खराब होना शुरू होते हैं तब आम लोगों को इसका पता नहीं चल पाता है. जब तक वो अपने दांत की तकलीफ को समझते हैं तब तक कैविटी हो चुकी होती है. जिसमें खाना फंसने पर पेशेंट को उसका पता चलता है. ये कैविटी की मोडरेट स्थिति होती है. जिसके बाद फिलिंग करनी ही पड़ती है. कैविटी की वजह से दांत में तेज दर्द होना एक्सट्रीम अवस्था होती है. इस स्टेज पर डॉक्टर से संपर्क करना ही बेहतर ऑप्शन होता है.
दांतों में क्यों होती झनझनाहट?
दांतों में झनझनाहट की वजह कई बार गलत टूथपेस्ट होता है. ऐसे टूथपेस्ट जिसमें अब्रेसिव ज्यादा हों वो दांतों में झनझनाहट की वजह बनते हैं. इसके अलावा बहुत ज्यादा गर्म या ठंडा भी दांतों में झनझनाहट का कारण बनता है.
कितने कारगर हैं घरेलू उपाय?
दांत में दर्द होने या फिर झनझनाहट होने पर कई लोग घरेलू उपाय करते हैं या टूथ पेस्ट बदल देते हैं. कुछ लोग दर्द से राहत पाने के लिए दांतों के बीच लौंग दबाते हैं. डॉ. जुल्फीकार हाफिज के मुताबिक लौंग में कुछ ऐसे गुण होते हैं जो नर्व फाइबर को ब्लॉक करते हैं. इसकी वजह से दर्द का अहसास नहीं होता. डॉ. जुल्फिकार हाफिज के मुताबिक लौंग से दांत के दर्द में रिलीफ मिलता है लेकिन उसे ट्रीटमेंट नहीं कहा जा सकता है.
इसी तरह झनझनाहट से निपटने के लिए सिर्फ पेस्ट बदलना काफी नहीं होता. डॉ. जुल्फिकार हाफिज के मुताबिक होम रेमेडी कुछ हद तक यूज की जानी चाहिए लेकिन सेंसिटिविटी ज्यादा हो तो डॉक्टर को दिखाना ज्यादा अच्छा होता है.
पीले दांतों को सफेद कैसे करें? | How to Whiten Teeth at Home? | दांत दर्द से तुरंत राहत| Oral Health
(अस्वीकरण: सलाह सहित यह सामग्री केवल सामान्य जानकारी प्रदान करती है. यह किसी भी तरह से योग्य चिकित्सा राय का विकल्प नहीं है. अधिक जानकारी के लिए हमेशा किसी विशेषज्ञ या अपने चिकित्सक से परामर्श करें. एनडीटीवी इस जानकारी के लिए ज़िम्मेदारी का दावा नहीं करता है.)
NDTV.in पर ताज़ातरीन ख़बरों को ट्रैक करें, व देश के कोने-कोने से और दुनियाभर से न्यूज़ अपडेट पाएं