How to get rid of yellow teeth: दांतों पर जमीं गंदगी की वजह से दांत पीले (Yellow Teeth) नजर आने लगते हैं, जिसकी वजह से आपका कॉन्फिडेंस भी लो होने लगता है. पीले दांत (Peele dant) की वजह से आप कई बार स्माइल भी करने से कतराते हैं. दांतों के पीलेपन को हटाने के लिए कई बार ट्रीटमेंट की जरूरत पड़ती है, लेकिन अगर आप नेचुरल तरीके से दांतों के पीलेपन (peele danto ko kaise chamkaye) को हटाना चाहते हैं, तो ये टिप्स आपके काम आएंगे. तो चलिए जानते हैं कि क्या वाकई पीले दांतों को सफेद किया जा सकता है (Can Yellow Teeth Become White). अगर हां, तो पीले हो चुके दांतों को सफेद करने के घरेलू उपाय...
कई बार रेगुलर ब्रशिंग के बावजूद दांतों की सफेदी बरकरार नहीं रह पाती है. बहुत से लोग दांतों के पीलेपन की समस्या (Problem of Yellow teeth) से परेशान रहते हैं. दांतों का पीलापन (Causes of yellow teeth) के कई कारण हो सकते हैं. इन कारणों को जानें.
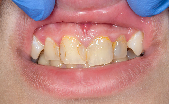
तो बिना देर करे जानते हैं कि पीले दांतो को कैसे चमाएं और उन्हें सफेद कैसे करें.
दांतों का पीलापन हटाने के उपाय | पीले दांतों को सफेद कैसे करें | पीले दांतों सफ़ेद करने के आसान उपाय | How can I whiten my teeth quickly | Simple Ways to Naturally Whiten Your Teeth at Home | Peele danto ko safed kaise kare
1. बेकिंग सोडा से दांत साफ करना
पीले दांतों को सफेद करने के लिए बेकिंग सोडा सबसे बढ़िया ऑप्शन है. यह दांतों को सफेद करता है और पीलेपन को हटाता है. दांतों की सफाई के लिए फिटकरी पाउडर के साथ बेकिंग सोडा को बराबर मात्रा में मिला लें और इससे दांतों पर मसाज करें.
नींबू के साथ इस चीज को मिलाकर लगाएं Yellow teeth पर, मोतियों की तरह चमकने लगेंगे
2. नीम का दातुन
अगर दांत पीले हो गए हैं, तो इसके लिए घरेलू उपाय अपना सकते हैं. नीम की टहनियों, डंडियों यानी दातुन में कई तरह के औषधीय गुण मिलते हैं. नीम का दातुन एंटी इंफ्लेमेटरी और एंटी बैक्टीरियल गुण वाला होता है, जो दांतों से पीले दाग को हटाने के साथ ही कीटाणुओं को भी मारता है और मसूड़ों को भी मजबूत बनाता है.
3. फलों का छिलका
दांत पीले होने के पीछे कई कारण हो सकते हैं. ऐसे में पीले दांतों को सफेद करने के लिए केला, नींबू या संतरे के छिलके और स्ट्रॉबेरी का पेस्ट अपने दांतों पर लगाने से उनका पीलापन दूर होता है साथ ही वो मजबूत भी बनते हैं.
4. नारियल का तेल खींचना
अगर आप भी जानना चाहते हैं कि पीले दांतों को सफेद कैसे करें, तो इसमें नारियल का तेल आपकी मदद कर सकता है. इस तेल में लॉरिक एसिड होता है, जो सूजन को कम करने और बैक्टीरिया को मारने में हेल्प करता है. नारियल के तेल को कुछ मिनट मुंह में रखें और फिर उसे कुल्ला कर लें, इससे दांतों पर सफेदी आती है.
5. तुलसी
दांतों को सफेद और चमकदार कैसे बनाएं? इसके लिए तुलसी के माउथवॉश का एंटीप्लाक प्रभाव होता है, जो बैक्टीरिया को रोकता है. तुलसी के रस को दांतों पर लगाने से पीलेपन से छुटकारा मिलता है.
सनकी आशिक ने बना दिया था जिंदा लाश, मिसाल बनकर उभरी सारिका, Watch video-
अस्वीकरण: सलाह सहित यह सामग्री केवल सामान्य जानकारी प्रदान करती है. यह किसी भी तरह से योग्य चिकित्सा राय का विकल्प नहीं है. अधिक जानकारी के लिए हमेशा किसी विशेषज्ञ या अपने चिकित्सक से परामर्श करें. एनडीटीवी इस जानकारी के लिए ज़िम्मेदारी का दावा नहीं करता है.














