कई बार हम सभी के साथ ऐसा होता है कि हमें इतनी तेज़ छींक आती है कि हमारे बगल बैठे लोग छींक (sneeze) की आवाज़ सुनकर डर जाते हैं और छींक से हमारा शरीर बुरी तरह से झकझोर उठता है. लेकिन, सोचिए तब क्या होगा जब किसी ज़ोरदार छींक को आप जबरदस्ती रोकने की कोशिश करें. हम ये बात इसलिए कर रहे हैं, क्योंकि एक ब्रिटिश शख्स (British man) ने ज़ोरदार छींक रोककर अपना गला घायल कर लिया. 2018 में बीएमजे केस रिपोर्ट्स में प्रकाशित एक पेपर के अनुसार, एक 34 वर्षीय शख्स ने अपना मुंह बंद करके और दोनों नाक बंद करके छींक को दबाने की कोशिश की, लेकिन छींक के ज़ोर से उसका गला फट गया.
"स्नैप, क्रैकल, और पॉप: जब छींकने से गर्दन में कर्कश आवाज होती है" शीर्षक वाले पेपर में दावा किया गया कि उस व्यक्ति ने "नाक बंद करके और अपना मुंह बंद करके छींक को रोकने की कोशिश की."
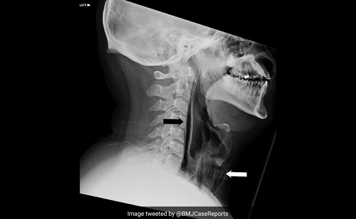
उनमें अजीब लक्षण दिखाई देने लगे, जिनमें निगलने में दर्द, आवाज में बदलाव, पॉपिंग की अनुभूति और गर्दन में सूजन शामिल है. अपनी इन परेशानियों की वजह से वो डॉक्टर के पास गया.
डॉक्टरों ने कहा कि हवा की धारियाँ उसके गले के कुछ ऊतकों में फंस गई थीं और उसका गला फट गया था. ग्रसनी का स्वतःस्फूर्त टूटना बहुत दुर्लभ है, जो आमतौर पर उल्टी, मतली, भारी खांसी या किसी प्रकार के आघात के कारण होता है.
गर्दन के अंदरूनी में किसी भी संक्रमण के जोखिम या प्रगति से बचने के लिए उस शख्स को चिकित्सकीय निगरानी में रखा गया था. मरीज को एक फीडिंग ट्यूब और एंटीबायोटिक्स दी गईं. दो सप्ताह के बाद वह ठीक हो गए और नरम भोजन खाना शुरू कर दिया.
लेखकों ने लिखा, "नाक और मुंह को बंद करके छींक को रोकना एक खतरनाक पैंतरेबाज़ी है और इससे बचना चाहिए."
"इससे कई परेशानियां हो सकती हैं, जैसे स्यूडोमीडियास्टिनम [दोनों फेफड़ों के बीच छाती में फंसी हवा], कान की झिल्ली का छिद्र [छिद्रित कान का पर्दा], और यहां तक कि सेरेब्रल एन्यूरिज्म का टूटना [मस्तिष्क में रक्त वाहिका का गुब्बारा बनना]."














