दांतों की सड़न को दूर करने में काम आएंगे ये 5 घरेलू उपाय, Cavities से भी मिलेगा छुटकारा 

Tooth Decay Home Remedies: अगर आपके दांत भी सड़ना शुरू हो गए हैं तो बेहतर है आप जल्द से जल्द इस दिक्कत से निजात पा लें. कुछ घरेलू उपाय इसमें आपकी मदद करेंगे. 

विज्ञापन
Read Time: 15 mins
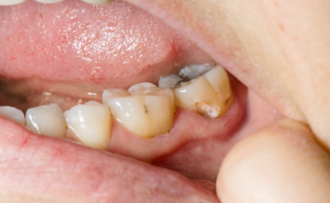
Tooth Decay: इस तरह दूर होगी दांतों की सड़न. 
istock
फटाफट पढ़ें
Summary is AI-generated, newsroom-reviewed
  • कई कारणों से दांतों में सड़न होती है.
  • सड़न से दांत दर्द और दांतों के टूटने की दिक्कत भी हो सकती है.
  • समय रहते इससे छुटकारा पाने के लिए आजमाएं ये उपाय.
क्या हमारी AI समरी आपके लिए उपयोगी रही?
हमें बताएं।

Oral Health: अगर दांतों की सड़न (Tooth Decay) को समय रहते ठीक नहीं किया गया तो इससे दांतों की बीमारियां, इंफेक्शन, दांतों का टूटना और दर्द (Toothache) की दिक्कत हो सकती है. यह ज्यादतर बहुत मीठी चीजें खाने से होता है जिससे दांतों की बाहरी परत खराब होकर दांतों को अंदरूनी रूप से भी नुकसान पहुंचाने लगती है. अगर आपके दांतों में कैविटीज (Cavities) लगना अभी शुरू ही हुई है तो कुछ घरेलू उपाय ऐसे हैं जो इस समस्या से छुटकारा दिलाने में आपकी मदद करेंगे. 


दांतों की सड़न के 5 घरेलू उपाय | 5 Home Remedies For Tooth Decay

लौंग 

दांतों की सड़न को कम करने में लौंग बेहद फायदेमंद साबित होती है. लौंग एंटीफंगल, एंटी-बैक्टीरियल और एंटीसेप्टिक गुणों से भरपूर होती है जो दांतों के दर्द को भी दूर करती है. दांतों पर लौंग (Clove) के इस्तेमाल के लिए प्रभावित हिस्से पर लौंग के तेल, लौंग के मसाले या फिर फिर लौंग के टुकड़े को भी लगाए रख सकते हैं. 

नीम 

नीम को उसके एंटी-बैक्टीरियल गुणों के लिए जाना जाता है. यह दांतों की सड़न के साथ प्लाक को भी दूर करती है. आज भी ऐसे कई लोग हैं जो नीम से बनी दातुन का इस्तेमाल करते हैं. आप नीम के तेल को दांतों की सड़न से छुटकारा पाने के लिए इस्तेमाल कर सकते हैं, साथ ही नीम की दातुन से दांतों को साफ भी किया जा सकता है. 

एलोवेरा 

सड़न के लिए एलोवेरा जेल भी काफी असरदार साबित होता है. आप रोजाना एलोवेरा (Aloe Vera) के जूस से कुल्ला कर सकते हैं. इसके एंटी-बैक्टीरियल और एंटी-इंफ्लेमेटरी गुण तेजी से अपना प्रभाव दिखाते हैं. 

Advertisement

ऑयल पुलिंग 

मुंह के अंदर तेल रखकर जोर-जोर से घुमाने पर दांतों की सड़न दूर हो सकती है. ऑयल पुलिंग के लिए नारियल के तेल का इस्तेमाल किया जाता है. यह दांतों में मौजूद उन टॉक्सिन को हटाता है जो दांतों की बाहरी परत को नुकसान पहुंचाता है.  

नमक 



हल्के गर्म पानी में नमक मिलाकर कुल्ला करने में दांत के दर्द और दांतों की सड़न से निजात मिलती है. आप रोज सुबह-शाम इस पानी से कुल्ला कर सकते हैं. 

Advertisement

अस्वीकरण: सलाह सहित यह सामग्री केवल सामान्य जानकारी प्रदान करती है. यह किसी भी तरह से योग्य चिकित्सा राय का विकल्प नहीं है. अधिक जानकारी के लिए हमेशा किसी विशेषज्ञ या अपने चिकित्सक से परामर्श करें. एनडीटीवी इस जानकारी के लिए ज़िम्मेदारी का दावा नहीं करता है.

जाह्नवी कपूर जिम के बाहर हुईं स्पॉट

Featured Video Of The Day
Iran Israel| Hormuz पर Trump-Modi की बात पर डिबेट में क्यों छिड़ी जंग? | Sucherita Kukreti | War News
Topics mentioned in this article